Impact of Lactobacillus acidophilus and inulin on the liver disease of an obese murine model
Highlight box
Key findings
• The use of L. acidophilus and inulin has an impact on bile acid synthesis through overexpression of Acox2 and Cyp7a1, thus reducing the fat accumulation in liver.
What is known and what is new?
• Acox2 and Cyp7a1 are molecular markers related to non-alcoholic fatty liver disease (NAFLD) and its progression.
• The supplementation with a synbiotic (L. acidophilus + inulin) can modulate the expression of these genes through microbiota action
What is the implication, and what should change now?
• Our findings can suggest that the use of a supplementation with a synbiotic can be an adjuvant in treatment of NAFLD.
Introduction
Background
Obesity, meaning overweight, can be considered an epidemic worldwide disease in living creatures. Is an important factor for the development of chronic degenerative diseases includes diabetes, high blood pressure, heart disease, and non-alcoholic fatty liver disease (NAFLD) (1,2). Is characterized by excessive fat accumulation that alters pathways such as bile acid production, predisposing the liver to ectopic lipid accumulation, a histologically visible characteristic of NAFLD (3). Clinical studies have proposed that the microbiota plays an important role in obesity, which is related to the digestion and absorption of nutrients in the tract system, promoting weight loss. The ingestion of probiotics, such as Lactobacillus and Bifidobacterium, and prebiotics, such as inulin and some oligosaccharides, in food intake, has been shown to have healthy beneficial effects for obese patients, modulating inflammatory factors and reducing adipose tissue (4-7). The main organ where metabolic reactions are carried out is the liver, which has an important relationship with the digestive system (8).
Rational and knowledge gap
Analysis of the hepatic transcriptome allows us to identify all mRNAs that can actively participate in metabolism, giving us a fundamental understanding of different metabolic processes in organisms and whether any modification occurs under different health conditions, including obesity and a treatment plan (9). Previous studies have been carried out to determine the response of the transcriptome in obesity, mainly in fatty liver and adipose tissue, by the molecular detection of genes related to insulin resistance and the progression of liver disease (NAFLD, cirrhosis) (10-13). Excessive fat accumulation alters pathways such as bile acid production, predisposing the liver to ectopic lipid accumulation, a histologically visible characteristic of NAFLD (3). However, for these acids to fulfill their detergent function and allow emulsifying the fats consumed by the diet, it is necessary that their metabolic pathway of synthesis remains active. The Cyp7a1 and Acox2 genes have been recognized as having a regulatory function. Therefore, they have been proposed as molecular markers for NAFLD and its progression, found to be repressed in the pathological process (14,15).
Objective
The aim of our study was to analyze the hepatic transcriptome and hepatic histology in response to dietary treatment with supplements such as probiotics and prebiotics to understand the molecular pathways associated with the pharmaceutical treatment of obesity or comorbidities such NAFLD. We present this article in accordance with the ARRIVE reporting checklist (available at https://tgh.amegroups.com/article/view/10.21037/tgh-24-161/rc).
Methods
Animals and diets
An assay was carried out with 50 adult (5–8 weeks) male mice (C57BL/6) under the following conditions: as a control group, 5 random mice was given a normocaloric diet (27% protein energy, 26% fat, and 47% carbohydrates, 6% simple sugars for 8 weeks) with 3.7 cal/per gram of food (16), 45 mice were feed with a diet induce obesity (DIO) composed by 48% fat, 15% proteins, and 36% carbohydrates based on what was reported in the literature (17,18). After 8 weeks, the control group and 5 organisms from DIO group were sacrificed. To evaluate the effect of a synbiotic treatment, probiotic (Lactobacillus acidophilus) + prebiotic (inulin), 4 random groups of 10 mice were formed with the following treatments: (I) normocaloric diet (27% protein energy, 26% fat, and 47% carbohydrates) (16); (II) normocaloric diet supplemented with probiotic; (III) normocaloric diet supplemented with prebiotic; and (IV) normocaloric diet supplemented with probiotic and prebiotic, for a period of 8 weeks and at a concentration consistent with that is reported in the literature (19,20). Lactobacillus acidophilus was a commercial product of Gelpharma Lab and it was administrated ~109 colony-forming unit (CFU) per 100 grams of food. The concentration of inulin given to mice was the equivalent of the maximum consumption for 70 kg men (20). Once the organisms were in 4 weeks of treatments, 5 of each group were sacrificed, the rest of them continue for 4 more weeks. After these 4 weeks (8 of total treatment), organisms were sacrificed. During the experimentation, animals were kept under light and dark conditions, and temperature stable. The use of the animal model was realized by applying the Guide for the Care and Use of Laboratory Animals by the National Research Council and approved by the bioethics committee of the Universidad Autónoma de Ciudad Juárez (No. CIBE-2018-1-01).
Sampling and RNA isolation and complementary DNA synthesis
Prior to sacrifice, the animals used Zelazol (Ciudad de México, CDMX, México) as an anesthetic that was delivered at a dose of 30 mg per kilogram of weight. The target organ dissection was liver, and samples of approximately 5 mm were taken from each organism per group and placed in a tube with TRIzol (Waltham, MA, USA) to obtain total RNA, following the manufacturer’s instructions (21). For the transcriptome analysis, sample pooling of five organism was carried out. Total RNA quantification was carried out with Nanodrop 2000 Thermo Fisher equipment (Waltham, MA, USA). The samples were stored at −80 ℃ until later use.
Using 1,000 ng of RNA of each individual sample, cDNA synthesis was developed with ImProm-II Promega (Madison, WI, USA) reverse transcription system fallowing manufacturer instructions and storage at −20 ℃ until use.
Evaluation of gene expression by microarrays
The microarray technique was carried out in the DNA Microarray Unit of the Cellular Physiology Institute of UNAM (Ciudad de México, CDMX, México). Three mouse genome chips (22,000 genes) were made and were hybridized under 3 hybridization processes: (A) obese versus normocaloric; (B) normocaloric and synbiotic; and (C) obese versus synbiotic conditions, using 10 µg of total RNA for cDNA synthesis, incorporating dUTP-Alexa555 or dUTP-Alexa647 as fluorescent labeling to generate the probes to carry out the hybridization. The size of the probe used was 65 mer. Acquisition and quantification of array images was carried out with a ScanArray 4000 Packard Biochip analysis system (Billerica, MA, USA). The data obtained from the quantification of the images were analyzed in GenArise software (Ciudad de México, CDMX, México). The z value was used to identify genes that deviated from normalization (22). Z values greater than 2.0 or less than −2.0 are considered statistically significant; therefore, genes with values in the ranges mentioned above indicate overexpression or repression. The MGI/GenBank databases were used for gene identification. Gene Ontology (GO) analysis and functional enrichment analysis of differentially expressed genes (DEGs) were performed with the gprofiler, Pantherdb database, and string-db database for protein-protein interactions (PPIs) using the Cytoscape program for visualization, and a P value =0.05 was established to determine statistical significance.
Evaluation of gene expression
Evaluation of genes Acox2 and Cyp7a1 (key genes in bile acid synthesis) was performed by semiquantitative polymerase chain reaction (PCR) using specific primers. For Acox2 and Cy7a1, an original set of primers was design based on sequences from accession numbers AJ238492.1 and NM_007824 respectively, as for constitutive gene it was used 18S rRNA gene. List of primers, Tm and amplicon size are as follows: Acox2, Fw 5'-GACCCGAGATGAGCTATATGAG-3', Rv 5'-GTTGCTTCGGTCTCCAGG-3', Tm 65 ℃ and 268 bp; Cyp7a1, Fw 5'-GTGCTCTGAAGTTCGGATCC-3', Rv 5'-GCATCATGGCTTCAGAGAG-3', Tm 63 ℃ and 290 bp; for the constitutive gene it was a set of primers previously reported 18S, Fw 5'-GACGGAAGGGCACCACCAGG-3', Rv 5'-GCACCACCACCCACGGAATCG-3', Tm 65 ℃ and 131 bp (23).
Photo documentation/densitometry and statistical analysis
Electrophoretic analysis was performed by loaded PCR products in 1.8% agarose gel and electrophoresed at 100 volts for 40 minutes. The gel was exposure to ultraviolet (UV) light for 4.5 seconds using the EDAS 290 Kodak program. Densitometric analysis was performed. Relative expression was obtain using the 18S rRNA as a constitutive gene. Statistical analysis of multiple comparation of means was carried out by PROC MIXED Tuckey using SAS software version 9.4 (SAS Institute Inc., Cary, NC, USA).
Histological analysis
The paraffin-fixed liver tissue samples were cut into sections no more than 8 µm thick and attached to a slide. Hematoxylin and eosin staining were applied. Tissue samples were observed by bright field microscopy using a trinocular microscope Axio lab A1 Carl Zeiss® (White Plains, NY, USA) with magnifications of 100 and 400×. The photographs were taken using the Axiocam® 105 color camera (White Plains, NY, USA) and edited using Zen Lite 2.3 software (blue edition), 2011.
Results
Microarrays
The normal distribution of genes was obtained using the z score value, the results show that an average overexpression of 1.26% and repression of 2.2% was obtained in relation to the hybridized genome. The modulated genes in each hybridization were—overexpressed gene for each experiment A: 295, B: 294, and C: 246, while those repressed were A: 575, B: 394, and C: 500 genes. In general, the treatments have a major impact on repressing genes that overexpress them. The data was placed in Gene Expression Omnibus (GEO) repository with the accession number GSE281328.
To identify the genes that were modified in more than one condition, parallel lists were made. In this way, the genes that were modified by the biological effect of the tested conditions were determined.
If the gene is modified in experiments A and B or A and C, the effect is attributable to the normal caloric diet; if the gene is modified in experiments B and C, the effect is attributable to the mixed treatment; and if the gene is modified in all conditions, the effect is attributable to the normal caloric diet, and the differences in the z value may be due to the effect of the synbiotic treatment. Table 1 shows the summary of the genes that were modified by the different effects.
Table 1
| Modified condition | Effect by | Modulation | Number of genes |
|---|---|---|---|
| A and C | Normocaloric diet | Overexpression | 50 |
| A and C | Normocaloric diet | Repression | 137 |
| B and C | Synbiotic treatment | Overexpression | 13 |
| B and C | Synbiotic treatment | Repression | 43 |
| A, B, C | Normocaloric diet/synbiotic treatment | Repression | 22 |
A, Obese vs. normocaloric; B, Normocaloric vs. synbiotic; C, Obese vs. synbiotic.
Effect of individual treatments on gene expression
The results of an individual analysis of the experiments to identify metabolic pathways and biological functions of the regulated genes was observed in experiment C (effect of the synbiotic treatment on obesity). Within the category of molecular functions of the ontology gene, the fatty acid binding pathway (GO: 0005504) was found to be activated when the following genes were overexpressed: Alox5ap, Cyp4f15, Apoc, Acox2, Cyp7a1, and Apoa4. The analysis of the biological interaction (PPI enrichment analysis) of these genes, obtained a value of P=1.88e−05, which was statistically significant, indicated that the synbiotic treatment influences the metabolism of fats.
Genes Acox2 and Cyp7a1 are genes involved in bile acid synthesis and have previously been reported (14,15) as molecular markers of NAFLD and hepatocarcinoma, reason why we decided to continue analyzing via PCR.
Gene expression of Acox2 and Cyp7a1
The analysis of gene expression of genes Acox2 and Cyp7a1 is shown in Figure 1. For gene Acox 2 the results indicate that the relative expression with the highest value at 4 weeks corresponds to the treatments with prebiotic and synbiotic (groups E and F), with values of 0.941 and 0.965 respectively, which could represent an early activation of the trimming of fatty acids and the creation of intermediates of the bile acid biosynthesis pathway through peroxisomal β-oxidation. Both of the groups present a statical difference with obese group with P=0.002 for prebiotic and P=0.001 for synbiotic group. However, at 8 weeks of treatment the relative expression for treatment E* (prebiotic) the value goes down (0.351), this may indicate that the effect of inulin supplementation on a low-fat diet does not meet the necessary requirements to maintain an effect that increases the expression of the Acox2 gene for long time. On the other hand, the F* group (ND + synbiotic) showed an activity above the other treatments with a value of 1.268, indicating overexpression of this gene, thus demonstrating the effect of the synergistic activity of a hypocaloric diet supplemented with inulin and L. acidophilus. The treatments with synbiotic at 4 and 8 weeks have a statistically significant difference compared with normocaloric group (P=0.04 and P=0.002 for 4 and 8 weeks respectively); when it is compared to obese it was found a statistical difference at 4 and 8 weeks with a P value <0.001 for both groups. Thus, synbiotic treatment at 8 weeks was the only one who has relative expression values corresponding to overexpression (1.26) make it the one who has more impact in Acox2 expression.
As for the gene Cyp7a1, most treatments maintained an expression level above the control groups (basal and obese) at 4 and 8 weeks, but only found statistical difference between basal group and normocaloric group with a P=0.009. The group D (normocaloric diet + probiotic) at 4 weeks unexpectedly reduced its expression level compared to the other groups in the same time range however, after 8 weeks of treatment was normalized with the other groups. Finally, group F* (ND + synbiotic at 8 weeks) was the only group that overexpressed the Cyp7a1 gene (relative expression value = 1.082) with a P<0.001 with all the treatments except for C* (normocaloric group) and D* (normocaloric diet + probiotic) with a P=0.012 and 0.004 respectively. This overexpression could represent an activation in the process of converting cholesterol to bile acids through the classic pathway of primary bile acids.
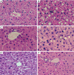
Histological results
Hematoxylin-eosin staining was used to evaluate morphological changes in the liver as a result of each treatment at final time. This staining allows us to analyze the integrity of the liver cells from group A (control group) compared to group B (obesogenic control).
In Figure 2 (A), Kupffer cells and hepatocytes are presented in a characteristic distribution of normal hepatic physiology, Figure 2 (B) shows hepatic tissue damaged by the disposal of fats through macro- and microvesicles, as well as a greater infiltration of Kupffer cells corresponding to damage caused by the obesogenic diet. Figure 2 (C*) shows a hepatic tissue of a normocaloric diet group with few infiltrations of Kuppfer cells, Figure 2 (D*) shows a presence a few of macrovesicles of fat in probiotic group, Figure 2 (E*) is a tissue of a prebiotic group where can observe only infiltrations of Kuppfer cells, Figure 2 (F*) shows a liver of synbiotic group, where the tissue reversed the effects caused by fat infiltration, presenting characteristics of healthy liver tissue.
Discussion
The objective of this work was to identify the effect of a synbiotic treatment on gene expression of an obese murine model. The modulation of genes related to comorbidities of obesity like inflammation or NAFLD could be achieved using probiotics and prebiotics as a supplement, as we demonstrated in this work.
The obtained results in the present investigation agree with the literature, it has been proven by different methodologies that the use of probiotics and prebiotics can modulate gene expression of diverse tissues in mice (24-27), making evidence the benefits of this type of treatments.
For the genes related to the fatty acid binding function that were overexpressed by the effect of synbiotic treatment, have been reported as molecular markers related to liver damage. It should be noted that the Acox2, besides its activity of fatty acid binding, is considered a prognostic marker for hepatocarcinoma, being repressed in cancerous liver tissues, and its overexpression has been related to an inhibition of the proliferation of cancer cells and their migration (28). Cyp7a1 has been shown to have a protective effect on the liver by preventing inflammation and fibrosis (29). Similarly, apolipoprotein A-IV has protective functions in the liver, preventing liver damage by modulating the inflammatory response (30). Hepatic steatosis or fatty liver is highly related to obesity and can progress to hepatocellular carcinoma (31). It has been reported that around 50% of obese patients developed NAFLD (32). Currently, the study of hepatic steatosis focuses mainly on genetic factors involved in the processes of degradation and oxidation of lipids. Likewise, recent reports have shown that the biosynthesis of bile acids is part of the system that regulates the presence of free fatty acids in blood plasma (33,34). In this way, genetic factors that regulate the activity of this last pathway can be used as molecular markers to evaluate the progression of the NAFLD.
Acox2 encodes a peroxisomal acyl-CoA oxidase enzyme, which participated in the metabolism of branched-chain fatty acids and bile acid intermediates (14). This enzyme has the ability to catalyze the initial and rate-limiting step of peroxisomal β-oxidation within liver tissue for the degradation of branched-chain fatty acids and bile acid pathway intermediates (28).
The overexpression of the Acox2 gene in the synbiotic treatment at 8 weeks, allow us to deduce that could be an increment in the activity of peroxisomal β-oxidation responsible for the reduction of very long chain fatty acids obtained by the diet.
The role of the intestinal microbiota as a regulator of carbohydrate and lipid metabolism is well stablished (35,36), it is known that play an important role in the regulation of the absorption of dietary fats, giving it an important activity in the regulation of accumulated fats in the liver, suggesting a regulatory effect by the microbiota on the development of hepatic steatosis (37). The results obtained in the experimentation show relative expression values of 0.561 and 0.552 for the treatment with L. acidophilus at 4 and 8 weeks (Figure 1, D and D*) respectively, which implies a participation in energy metabolism through lipolytic protein expression Acox2, but without reaching overexpression, in addition not presenting statistical significance to both controls (Figure 1A,1B). It has been reported that the used different strains of Lactobacillus to induce the expression of Acox2 (38-40). Therefore, it can be concluded that the presence of L. acidophilus has a regulatory effect on fat metabolism through the activation of factors such as Acox2 related to activity of peroxisomal β-oxidation, however, their activity individually does not turn out to be statistically significant when compared with the controls and other treatments.
By other hand, Inulin is recognized for its activity in maintaining the intestinal barrier, through metabolic mechanisms that activate anti-inflammatory responses involving enzymes such as the ACOX family (41). The obtained results suggest, a response by inulin on the activity of peroxisomal β-oxidation through increased expression of Acox2 with an relative expression value of 0.941 at the first 4 weeks with a statistical significance of P<0.05 compared to the other groups. However, at 8 weeks this activity is repressed with a value of 0.351. Thus, it is deduced that inulin has an effect that stimulates the expression of Acox2 in the short term, increasing the activity of peroxisomal β-oxidation and the release of short-chain fatty acids to the intestinal microbiota with a subsequent decline in its activity as time passes; by the other hand it has been reported that the beneficial effects of the use of inulin (prebiotic) is influenced by changes in microbiota (abundance and metabolism) (42), thus, the gut microbiota of the mice, could be altered due to the modifications in the diet, which could represent an impact in the metabolism of the inulin. It is important to note that the use of synbiotic treatment enhanced gene expression of the Acox2 in short and the long-term with a statistical difference. This indicates an increase in the activity related to the production of short-chain fatty acids, as well as the synthesis of bile acids, since peroxisomal β-oxidation is a necessary step for the formation of bile chain intermediates (43).
Bile acids are signaling molecules associated with energy metabolism in the form of glucose or lipids and their chemical variety is attributed to conjugation with amino acids and the participation of microorganisms that make up the intestinal microbiota (44). Cyp7a1 is the first rate-limiting enzyme of the classical bile acid biosynthesis pathway that is expressed exclusively in the endoplasmic reticulum of hepatocytes with retroregulation from bile acids that return to the liver once expelled by enterohepatic circulation (15). Due to its activity, it has been found to have a very important role related to maintaining bile acid and cholesterol homeostasis (45). The disruption of this balance has been documented as a key factor in the production of NAFLD, suggesting in the literature, that cholesterol levels and their subsequent conversion to bile acids could be part of the pathological picture of NAFLD (46,47).
The effect of the L. acidophilus in the expression of Cyp7a1 gene can be observed in a long term with statical difference compared to control groups (Figure 1). On the other hand, the supplementation with inulin does not have an impact in the expression of this gene, according with our result. Contrary, the use of the synbiotic treatment increase the expression of Cyp7a1 gene in a long term with statistical difference, as we can see in Figure 1 (F*) with a relative expression value of 1.082, this allows us to infer that the specific formulation of inulin and L. acidophilus has a direct response on the expression of Cyp7a1 and the activation of the bile acid synthesis pathway.
It was confirmed by histology, the reduction of fat accumulation in the tissue by the effect of the synbiotic treatment, this indicates a preventive effect of NAFLD development with a greater response compared to the other treatments, which highlights the synergistic activity of both dietary components in the lipid regulation of the host.
According with our results, several authors have reported the beneficial effect on the pathophysiology of NAFLD with the use of different strains of lactobacillus (48-52). In this way, it can be understood how the effect of the treatments (probiotics/prebiotics) generates a response that reduces the levels of inflammation and storage of intracellular fat, through the action of regulating the absorption processes by the intestinal microbiota.
Conclusions
Through all data obtained, it can be deduced that there is an increase in the production of bile acid in the liver tissue through the synergistic activity between inulin and L. acidophilus with the intestinal microbiota, thus improving the absorption and excretion of accumulated fats. This, indirectly helps to reduce the progression of the disease, showing that its use can complement the classic dietary treatment of obesity and NAFLD, due to its anti-inflammatory effect and the activation of pathways related to fatty acids.
Acknowledgments
All the authors are grateful to Universidad Autónoma de Ciudad Juárez for the support and infrastructure. IAGM thanks CONACYT for a postdoctoral grant. All the authors thank Dr. Manuel Antonio Ramos Murillo for his valuable advice. This article acknowledges to Seventh Biennial Meeting of the North American Society for Comparative Endorinology 2023 for publishing the abstract.
Footnote
Reporting Checklist: The authors have completed the ARRIVE reporting checklist. Available at https://tgh.amegroups.com/article/view/10.21037/tgh-24-161/rc
Data Sharing Statement: Available at https://tgh.amegroups.com/article/view/10.21037/tgh-24-161/dss
Peer Review File: Available at https://tgh.amegroups.com/article/view/10.21037/tgh-24-161/prf
Funding: None.
Conflicts of Interest: All authors have completed the ICMJE uniform disclosure form (available at https://tgh.amegroups.com/article/view/10.21037/tgh-24-161/coif). The authors have no conflicts of interest to declare.
Ethical Statement: The authors are accountable for all aspects of the work in ensuring that questions related to the accuracy or integrity of any part of the work are appropriately investigated and resolved. The use of the animal model was realized by applying the Guide for the Care and Use of Laboratory Animals by the National Research Council and approved by the bioethics committee of the Universidad Autónoma de Ciudad Juárez (No. CIBE-2018-1-01).
Open Access Statement: This is an Open Access article distributed in accordance with the Creative Commons Attribution-NonCommercial-NoDerivs 4.0 International License (CC BY-NC-ND 4.0), which permits the non-commercial replication and distribution of the article with the strict proviso that no changes or edits are made and the original work is properly cited (including links to both the formal publication through the relevant DOI and the license). See: https://creativecommons.org/licenses/by-nc-nd/4.0/.
References
- Blüher M. Obesity: global epidemiology and pathogenesis. Nat Rev Endocrinol 2019;15:288-98. [Crossref] [PubMed]
- Baker JS, Supriya R, Dutheil F, et al. Obesity: Treatments, Conceptualizations, and Future Directions for a Growing Problem. Biology (Basel) 2022;11:160. [Crossref] [PubMed]
- Martínez Sámano J, Torres Durán PV, Juárez Oropeza MA. Los ácidos grasos y la lipotoxicidad: implicaciones metabólicas. Rev la Fac Med 2013;56:5-18.
- Rao M, Gao C, Xu L, et al. Effect of Inulin-Type Carbohydrates on Insulin Resistance in Patients with Type 2 Diabetes and Obesity: A Systematic Review and Meta-Analysis. J Diabetes Res 2019;2019:5101423. [Crossref] [PubMed]
- da Silva TF, Casarotti SN, de Oliveira GLV, et al. The impact of probiotics, prebiotics, and synbiotics on the biochemical, clinical, and immunological markers, as well as on the gut microbiota of obese hosts. Crit Rev Food Sci Nutr 2021;61:337-55. [Crossref] [PubMed]
- Cerdó T, García-Santos JA, G, Bermúdez M, et al. The Role of Probiotics and Prebiotics in the Prevention and Treatment of Obesity. Nutrients 2019;11:635. [Crossref] [PubMed]
- Daniali M, Nikfar S, Abdollahi M. A brief overview on the use of probiotics to treat overweight and obese patients. Expert Rev Endocrinol Metab 2020;15:1-4. [Crossref] [PubMed]
- Kalra A, Yetiskul E, Wehrle CJ, et al. Physiology, Liver. In: Treasure Island (FL); 2022.
- Shackel NA, Seth D, Haber PS, et al. The hepatic transcriptome in human liver disease. Comp Hepatol 2006;5:6. [Crossref] [PubMed]
- Chatterjee A, Basu A, Das K, et al. Hepatic transcriptome signature correlated with HOMA-IR explains early nonalcoholic fatty liver disease pathogenesis. Ann Hepatol 2020;19:472-81. [Crossref] [PubMed]
- Suppli MP, Rigbolt KTG, Veidal SS, et al. Hepatic transcriptome signatures in patients with varying degrees of nonalcoholic fatty liver disease compared with healthy normal-weight individuals. Am J Physiol Gastrointest Liver Physiol 2019;316:G462-72. [Crossref] [PubMed]
- Nadler ST, Stoehr JP, Schueler KL, et al. The expression of adipogenic genes is decreased in obesity and diabetes mellitus. Proc Natl Acad Sci U S A 2000;97:11371-6. [Crossref] [PubMed]
- Jia X, Zhai T. Integrated Analysis of Multiple Microarray Studies to Identify Novel Gene Signatures in Non-alcoholic Fatty Liver Disease. Front Endocrinol (Lausanne) 2019;10:599. [Crossref] [PubMed]
- Vilarinho S, Sari S, Mazzacuva F, et al. ACOX2 deficiency: A disorder of bile acid synthesis with transaminase elevation, liver fibrosis, ataxia, and cognitive impairment. Proc Natl Acad Sci U S A 2016;113:11289-93. [Crossref] [PubMed]
- Chiang JYL, Ferrell JM. Up to date on cholesterol 7 alpha-hydroxylase (CYP7A1) in bile acid synthesis. Liver Res 2020;4:47-63. [Crossref] [PubMed]
- Secretaría de Salud (SSA). Norma Oficial Mexicana NOM-062-ZOO-1999, Especificaciones tecnicas para la produccion, cuidado y uso de los animales de laboratorio. Diario Oficial de la Federación 2001;107-67.
- Fang CX, Dong F, Thomas DP, et al. Hypertrophic cardiomyopathy in high-fat diet-induced obesity: role of suppression of forkhead transcription factor and atrophy gene transcription. Am J Physiol Heart Circ Physiol 2008;295:H1206-15. [Crossref] [PubMed]
- Yadav H, Lee JH, Lloyd J, et al. Beneficial metabolic effects of a probiotic via butyrate-induced GLP-1 hormone secretion. J Biol Chem 2013;288:25088-97. [Crossref] [PubMed]
- Karimi G, Sabran MR, Jamaluddin R, et al. The anti-obesity effects of Lactobacillus casei strain Shirota versus Orlistat on high fat diet-induced obese rats. Food Nutr Res 2015;59:29273. [Crossref] [PubMed]
- Roberfroid MB. Functional foods: concepts and application to inulin and oligofructose. Br J Nutr 2002;87:S139-43. [Crossref] [PubMed]
- Thermo Fisher Scientific. TRIzol Reagent User Guide (Pub. No. MAN0001271 C.0). 2023;15596026:1-4.
- Cheadle C, Vawter MP, Freed WJ, et al. Analysis of microarray data using Z score transformation. J Mol Diagn 2003;5:73-81. [Crossref] [PubMed]
- Montenegro F. Actividad cicatrizante del inhibidor de catepsina D de solanum elaeagnifolium En un modelo in vivo. Universidad Autonima de Ciudad Juárez; 2016.
- Wu Y, Li X, Tan F, et al. Lactobacillus fermentum CQPC07 attenuates obesity, inflammation and dyslipidemia by modulating the antioxidant capacity and lipid metabolism in high-fat diet induced obese mice. J Inflamm (Lond) 2021;18:5. [Crossref] [PubMed]
- Zhao L, Shen Y, Wang Y, et al. Lactobacillus plantarum S9 alleviates lipid profile, insulin resistance, and inflammation in high-fat diet-induced metabolic syndrome rats. Sci Rep 2022;12:15490. [Crossref] [PubMed]
- Nerstedt A, Nilsson EC, Ohlson K, et al. Administration of Lactobacillus evokes coordinated changes in the intestinal expression profile of genes regulating energy homeostasis and immune phenotype in mice. Br J Nutr 2007;97:1117-27. [Crossref] [PubMed]
- Chiou WC, Chang BH, Tien HH, et al. Synbiotic Intervention with an Adlay-Based Prebiotic and Probiotics Improved Diet-Induced Metabolic Disturbance in Mice by Modulation of the Gut Microbiota. Nutrients 2021;13:3161. [Crossref] [PubMed]
- Zhang Q, Zhang Y, Sun S, et al. ACOX2 is a prognostic marker and impedes the progression of hepatocellular carcinoma via PPARα pathway. Cell Death Dis 2021;12:15. [Crossref] [PubMed]
- Liu H, Pathak P, Boehme S, et al. Cholesterol 7α-hydroxylase protects the liver from inflammation and fibrosis by maintaining cholesterol homeostasis. J Lipid Res 2016;57:1831-44. [Crossref] [PubMed]
- Li X, Liu X, Zhang Y, et al. Hepatoprotective effect of apolipoprotein A4 against carbon tetrachloride induced acute liver injury through mediating hepatic antioxidant and inflammation response in mice. Biochem Biophys Res Commun 2021;534:659-65. [Crossref] [PubMed]
- Saitta C, Pollicino T, Raimondo G. Obesity and liver cancer. Ann Hepatol 2019;18:810-5. [Crossref] [PubMed]
- Chen Y, Wang W, Morgan MP, et al. Obesity, non-alcoholic fatty liver disease and hepatocellular carcinoma: current status and therapeutic targets. Front Endocrinol (Lausanne) 2023;14:1148934. [Crossref] [PubMed]
- Fang YL, Chen H, Wang CL, et al. Pathogenesis of non-alcoholic fatty liver disease in children and adolescence: From "two hit theory" to "multiple hit model". World J Gastroenterol 2018;24:2974-83. [Crossref] [PubMed]
- Grünhage F, Lammert F. The fate of fatty liver disease: of bile and fatty acids. Ann Hepatol 2013;12:642-3.
- Palmnäs-Bédard MSA, Costabile G, Vetrani C, et al. The human gut microbiota and glucose metabolism: a scoping review of key bacteria and the potential role of SCFAs. Am J Clin Nutr 2022;116:862-74. [Crossref] [PubMed]
- Jia X, Xu W, Zhang L, et al. Impact of Gut Microbiota and Microbiota-Related Metabolites on Hyperlipidemia. Front Cell Infect Microbiol 2021;11:634780. [Crossref] [PubMed]
- Yu Y, Raka F, Adeli K. The Role of the Gut Microbiota in Lipid and Lipoprotein Metabolism. J Clin Med 2019;8:2227. [Crossref] [PubMed]
- Chen M, Guo WL, Li QY, et al. The protective mechanism of Lactobacillus plantarum FZU3013 against non-alcoholic fatty liver associated with hyperlipidemia in mice fed a high-fat diet. Food Funct 2020;11:3316-31. [Crossref] [PubMed]
- Nido SA, Shituleni SA, Mengistu BM, et al. Effects of Selenium-Enriched Probiotics on Lipid Metabolism, Antioxidative Status, Histopathological Lesions, and Related Gene Expression in Mice Fed a High-Fat Diet. Biol Trace Elem Res 2016;171:399-409. [Crossref] [PubMed]
- Park JE, Oh SH, Cha YS. Lactobacillus Brevis OPK-3 from Kimchi Prevents Obesity and Modulates the Expression of Adipogenic and Pro-Inflammatory Genes in Adipose Tissue of Diet-Induced Obese Mice. Nutrients 2020;12:604. [Crossref] [PubMed]
- Esgalhado M, Kemp JA, Damasceno NR, et al. Short-chain fatty acids: a link between prebiotics and microbiota in chronic kidney disease. Future Microbiol 2017;12:1413-25. [Crossref] [PubMed]
- Riva A, Rasoulimehrabani H, Cruz-Rubio JM, et al. Identification of inulin-responsive bacteria in the gut microbiota via multi-modal activity-based sorting. Nat Commun 2023;14:8210. [Crossref] [PubMed]
- Ferdinandusse S, Houten SM. Peroxisomes and bile acid biosynthesis. Biochim Biophys Acta 2006;1763:1427-40. [Crossref] [PubMed]
- Xiang J, Zhang Z, Xie H, et al. Effect of different bile acids on the intestine through enterohepatic circulation based on FXR. Gut Microbes 2021;13:1949095. [Crossref] [PubMed]
- Donepudi AC, Ferrell JM, Boehme S, et al. Deficiency of cholesterol 7α-hydroxylase in bile acid synthesis exacerbates alcohol-induced liver injury in mice. Hepatol Commun 2017;2:99-112. [Crossref] [PubMed]
- Uehara K, Titchenell PM. Curing Fatty Liver with Oxysterols? Cell Mol Gastroenterol Hepatol 2022;13:1265-6. [Crossref] [PubMed]
- Wei M, Tu W, Huang G. Regulating bile acids signaling for NAFLD: molecular insights and novel therapeutic interventions. Front Microbiol 2024;15:1341938. [Crossref] [PubMed]
- Yao F, Jia R, Huang H, et al. Effect of Lactobacillus paracasei N1115 and fructooligosaccharides in nonalcoholic fatty liver disease. Arch Med Sci 2019;15:1336-44. [Crossref] [PubMed]
- Ghosh S, Yang X, Wang L, et al. Active phase prebiotic feeding alters gut microbiota, induces weight-independent alleviation of hepatic steatosis and serum cholesterol in high-fat diet-fed mice. Comput Struct Biotechnol J 2021;19:448-58. [Crossref] [PubMed]
- Kim B, Kwon J, Kim MS, et al. Protective effects of Bacillus probiotics against high-fat diet-induced metabolic disorders in mice. PLoS One 2018;13:e0210120. [Crossref] [PubMed]
- Tang C, Zhou W, Shan M, et al. Yogurt-derived Lactobacillus plantarum Q16 alleviated high-fat diet-induced non-alcoholic fatty liver disease in mice. Food Sci Hum Wellness 2022;11:1428-39.
- Yu JS, Youn GS, Choi J, et al. Lactobacillus lactis and Pediococcus pentosaceus-driven reprogramming of gut microbiome and metabolome ameliorates the progression of non-alcoholic fatty liver disease. Clin Transl Med 2021;11:e634. [Crossref] [PubMed]
Cite this article as: García-Montoya IA, Mendoza-Lares AR, Escárcega-Avila AM, López-Díaz JA, Martín-Orozco U, Vargas-Requena CL, Jiménez-Vega F. Impact of Lactobacillus acidophilus and inulin on the liver disease of an obese murine model. Transl Gastroenterol Hepatol 2025;10:67.

